Карина Добриян
Эндодонтия Добриян 24.12.2025
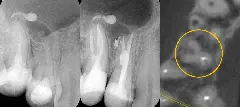
Как найти устье облитерированного канала за 3 минуты вместо 40: метод аксиального среза КЛКТ
Тратите 40 минут на поиск устья облитерированного канала? Боитесь перфорации дна полости? Аксиальный срез КЛКТ — ваш GPS-навигатор в эндодонтии. Узнайте, как находить устья за 3 минуты, снизить риск осложнений и работать уверенно. Пошаговая методика с клиническим кейсом от практикующего эндодонтиста.
